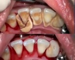
Diş üzerine yapışmış renkli ve kireçli tabakalar çeşitli aletler yardımı ile kaldırılır ve alete takılıp dönen bir diş fırçası ile parlatılır. Diş temizliğinde dişin rengi değişmez.
Diş ve dişeti sağlığı açısınndan diş temizliği, her 6 ayda bir kontrol edilip, gerekli görüldüğünde yapılması gereklidir.
